
おつかれさまです
シューフィッター「こまつ」あらため
シューフィッター佐藤靖青です。
このブログはアフィリエイトプログラムを利用して商品を紹介しています。
・・
すみません。
ぼーっとしてます。
これが・・疲労か・・。
軽めの話で逃げます。
最近ズーム相談でも
お買い物アテンドでも
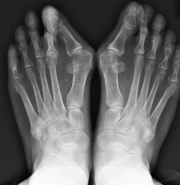
外反母趾関係が多い。
「ヒールを何十年も前にやめたのに
なぜ外反母趾になったんですか?」
という疑問、めっちゃ聞きます。
ざっと3つです。
①遺伝
遺伝パワーはすごい。
すみません資料どっかいいきましたが
江戸時代の方にも外反母趾の方は
いました。
靴を履いてなくても、前重心が
すごい家系(大腿骨のねじれ)の場合
それこそ生まれたときからつまさき重心なんで
外反母趾になります。
当時はワラジ・下駄でしたが
鼻緒をつかむのにむしろ都合が良かったので
特に困らなかったでしょう。
という遺伝のかたは
私が直接お話した方では
ぶっちぎりで多いです。
②重心のクセ
ヒールを履き始めたのが社会人デビューで
そこから20年以上ヒールを履かされ
なんならプライベートでもヒールだった方。
ご自身ではわかりにくいですが
今フラットな靴を履いていても
まあまあの確率で前重心になってます。
20年超のクセはなかなかなんです。
意識だけではどうにもなりません。
「ヒール足」とか言いますが
アキレス腱が実際に短くなるか
伸縮せず硬くなった状態。
関節技かけられたまま
歩いてるようなもんなんです。
助けてドラえもん。
しょうがないなあのび太君は。
てれれてってれー(すいません疲れてます)
「バネインソールスマートシリーズ」
6380円。

バネインソール バランスフィット スマートシリーズ インソール BNS00101/BNS00102/BNS00103/BNS00104/BNS00105 中敷 BANE BA2NE
バネインソールの中でも
まあまあ細身です。
パトリック・fitfit愛用者との
相性はグッド。
意識関係なく
いやでもくるぶしの下に重心がのります。
前半分もまあまあソフトで
タコがあってもそこまで苦ではありません。
③老化
なかなかご本人を目の前に
言えませんが・・。
全員じゃありませんが、過労に伴い
・足周りの筋力低下→外反足
・足裏の脂肪層の激減
・足の握力低下による浮き指
トリプルコンボで指曲がってしまう方も
正直いらっしゃいます。
この場合インソールでもいいんですが・・
靴でもいけるんですよね。
①いつものエアリフト


《nikesm22》 【NIKE】 ナイキ W AIR RIFT BR ウィメンズ エア リフト BR WDN1338
指先にぐぐっと力が
いい感じで入ります。
ふつうにおしゃれですし
足底の脂肪層がなくなってもエアがある!
②いつものトーリン8ワイド

トーリン 8 ワイド ウィメンズ [ALTRA アルトラ] ロードランニングシューズ ※サイズ交換片道無料 最新モデル
がしっとつかんで
びしっと立たせる。
以上!
・・
ちょっとネガティブな話ですが
あくまでも私個人が聞いた話ですが
トンデモ治療もあります。
・カイロプラクティックで骨を戻そうとした
→そんなバカな!
普通のカイロの方でもそうは思わんでしょ。
外反母趾は脱臼+靱帯・神経の固定。
骨を「バキッ」っとやったから直るものではない。
・超絶高価なインソール・両足20万円(!)
→ふつうに法外。
整形外科で保険適用で!
・「サポーターで様子を見ましょう」からの10年経過
→いやー・・。
セカンドオピニオン、ほんと大事です。
本題終了。
・・・・・・・・・・・・
【今日のおすすめの1足】
メーカーどこでもOK、
「サムループサンダル」
2~3000円台。


レディース サンダル 親指リング サムループサンダル 旅行 海 リゾート 疲れない スリッパサンダル かかとなし 送料無料 メール便
真夏のワンシーズンを過ごすなら
このあたりでOKです。
外反母趾の方にこのデザインは
本当にやさしい。
アッパーがそもそも
外反母趾サポーターの形です。
「ここがすごい!」というメーカーはないので
この形のでいいのがあれば
買っちゃいましょう。
・・・・・・・・
【お知らせ】
6月17(火)・29(日)に
新宿フィッティング会を開催します。
詳細はこちら。
今回よりおそれいりますが
先着ではなく抽選式とさせていただきますので
なにとぞご容赦くださいませ。
受付が
5月16(金)~18(日)の3日間です。
①公式ライン→https://lin.ee/CK9Z29U
(24時間対応)
②HPの「お問い合わせ」→お問い合せ
どちらでも良いので
・お名前
・ご希望日
・1枠ご希望か2枠ご希望か
(プチアテンドご希望の方は
2枠連続でお願い致します)
・メモ程度で良いのでお悩みの内容
・ふだんのお靴のサイズ
も一緒に書き添えてください。
ご当選の方には21(水)までに
順次折り返しチャットか
メールをお送りいたします。
チャットもメールも行かなかった場合は
今回はごめんなさい、ということで
ご了承ください。
お日にちは選べますが、
ご希望の時間帯はお選びできません。
本当に申し訳ありません。
どこの時間帯でもOKという方のみ
ご応募ください。
・・
・ズーム相談
すみません、激混みです。
受けるだけ受けてますが
いったんメッセージお送りください。
現在10日ほど頂いてます。
・ライン相談
こちらも激混みです。
受けるだけ受けてますが
いったんメッセージお送りください。
すぐのご返答がしばらく厳しいですが
困ってる方、まず質問投げてください。
・お買い物フルアテンド(月10名様限定)
5~6月のご予約はじめていますが
だいぶ枠埋まってます。
こちらからどうぞ!→お買い物アテンド
・・
それではまた明日!